Saúde
Saúde
Campanha de vacinação contra a gripe termina nesta quarta-feira
No último dia 12, a pasta ampliou a vacinação contra a gripe para todas as pessoas com mais de 6 meses de idade, diz Ministério da Saúde.
Saúde
Fumantes usam 8% da renda familiar per capita para compra de cigarros
Regiões Norte e Nordeste concentram os maiores gastos com o tabagismo, sendo o Acre o estado com o maior comprometimento de renda (14%).
Saúde
Termina hoje prazo para inscrição no Programa Mais Médicos
Valor da bolsa é de R$ 12,3 mil por mês, pelo prazo de 48 meses, prorrogáveis por igual período. Quem for para regiões de extrema pobreza e vulnerabilidade recebe um percentual maior.
Saúde
Campanha da OMS alerta sobre malefícios do tabaco ao meio ambiente
Além de causar dependência, o fumo provoca quatro vezes mais doenças coronarianas, acidente vascular cerebral, diz cirurgião oncológico Luiz Augusto Maltoni.
Saúde
SP: prefeitura prorroga vacinação contra gripe por tempo indeterminado
"A vacinação é um gesto de cuidado, proteção e a melhor forma de prevenção contra as doenças”, destaca o secretário municipal da Saúde, Luiz Carlos Zamarco.
Saúde
Fiocruz: 62% das crianças Guarani vivem abaixo da linha de pobreza
Estudo identifica associações estatisticamente significativas entre domicílios precários e extrema pobreza e hospitalização no primeiro ano de vida, diz pesquisador da Fiocruz.
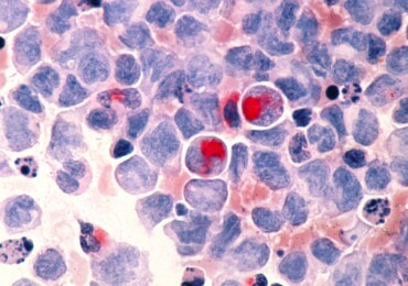
Saúde
Tratamento promissor contra câncer é estudado pelo SUS
Nessa terapia, já adotada nos Estados Unidos e em outros países, células T do paciente são alteradas em laboratório para reconhecer e atacar células cancerígenas ou tumorais.
Saúde
Peixes em seis estados da Amazônia têm contaminação por mercúrio
Principais recomendações da Fiocruz, que fez o estudo, são maior controle do território amazônico e erradicação dos garimpos ilegais e outras fontes emissoras.
Saúde













